
Parsonage-Turner o Plexitis Braquial es una patología muy desafiante. Su diagnóstico en fisioterapia es difícil. No se te pasará por alto después de leer este artículo.
Muchas consultas de fisioterapia, empiezan con un dolor de hombro intenso. Sin embargo, sólo unos pocos serán causados por esta patología tan poco conocida. Incluso en el mundo sanitario. Os cuento cómo empezaron mis tres casos confirmados a lo largo de mi carrera profesional. También os cuento todo lo que he aprendido de esto.

Monitor de spinning que no puede levantar el brazo.
Aparece en consulta, paciente de 40 años, que lleva 3 meses de tratamiento de fisioterapia. Primero por dolor intenso en el hombro que lo despertó una noche. A partir de los 3 días y tras el tratamiento «exitoso», el dolor le remitió en una semana. Sin embargo, siguió acudiendo a la consulta. Empezó a notarse un bulto en la espalda (era una escápula alada). También tenía imposibilidad de levantar el brazo. Se le trataron «puntos gatillos», se le «despegó la escapula», se le mandaron ejercicios y vendajes…. sin resultado. Al acudir al centro, evidenciamos la presentación clínica tardía que ahora os comentaré.
Músico con dolor insoportable de hombro.
Acude a consulta músico de unos 50 años con dolor súbito desde hace dos días. El dolor, no cambia con movimientos de hombro ni responde a tratamiento de AINES.
En la valoración, aunque presentaba dolor continuo, nada aumentó o disminuyó sus síntomas. Por lo tanto, todos los test los consideramos negativos. El paciente nos contó que había tenido fiebre unos días antes… lo que despertó nuestras sospechas junto el hecho de haber descartado origen musculoesquelético. Se le consideró bandera roja y ser realizó un informe para confirmar o descartar Parsonage-Turner o otras causas como neoplasia. Afortunadamente, el dolor remitió por sí mismo a los días. El paciente volvió a las dos semanas con la clínica subaguda. Ahora pasaré a describirla. Se confirmó con RMN y EMG.

Niño de 12 años con contractura en el hombro.
El paciente acude acompañado de su madre y el motivo de la consulta es un dolor intenso en el hombro. Este dolor, lo despierta todas las noches sobre las 3 de la madrugada. Durante el día el dolor se manifiesta casi continuamente. EL paciente practica deportes de contacto a alto nivel, pero no refiere traumatismo reciente. Al indagar, el paciente ha tenido varias visitas al hospital, el último mes, por una neumonía muy severa. Al preguntar, el dolor apareció 2 días después del último pico de fiebre… En la exploración visual, se aprecia una escápula alada, que produce una discinesia escapular a la elevación.
-EL PODER DE LA EXPLORACIÓN VISUAL ;)-. Se confirma el diagnóstico con RMN.

Gracias por el contenido, ¿Cómo puedo colaborar con Clinical Patterns?
- Comparte el proyecto: De boca a boca, por redes, como tú quieras.
- Déjame comentarios y criticas constructivas para daros siempre la máxima calidad. (al final del post)
- Puedes pasarte por el apartado de formación y ver todo lo que puede ofrecerte Clinical Patterns.
- Invitándome a un café ayudas a que el proyecto sea sostenible (pago de la web, material audiovisual, licencias…)
Presentación clínica.
La presentación clínica, si realizamos una buena anamnesis, sigue siempre la siguiente línea temporal:
- Dolor súbito e intenso de hombro (duración entre tres días a una semana).
- Dolor nocturno / dolor constante no mecánico.
- Signos negativos sensitivos en áreas inervadas por C5-C6 (más habituales).
- Pérdida de capacidad de realizar elevación y abducción la extremidad superior.
- Signos visibles de discinesia escapular.
- Amiotrofia muscular de musculatura dependiente de raíces C5 y C6 (más habituales).
La dificultad en la sospecha diagnóstica se sitúa, sobre todo, en aquellos pacientes. Han acudido a consulta durante la presentación del dolor inicial. Estos pacientes aún no muestran signos de paresia asociados. Por ello, es necesario tener en mente esta entidad. Esto es aún más importante cuando no ha habido una causa traumática que lo desencadene. Sin embargo, sí puede haber una infección de vías respiratorias altas (lo comentaremos más hacia adelante).
Exploración física.
La exploración física será muy diferente, dependiendo de en qué fase nos encontremos al paciente:
Fase aguda 0-3 días
- Movilidad activa casi completa.
- Movilidad pasiva completa.
- Dolor que no cambia sustancialmente con test específicos.
- Sin cambios o leves cambios a la movilidad cervical.
- Sin cambios o leves cambios a posiciones de descarga neural.
- Arm Squeeze test puede ser positivo.
- Ausencia o leve discinesia.
- Puede aparecer signos negativos sensitivos.
Fase subaguda día 3-14 aproximadamente
- Movilidad activa limitada a la elevación y abducción.
- Movilidad pasiva completa a RE, pero limitada a la elevación.
- Dolor residual que no cambia sustancialmente con test específicos.
- Sin cambios cambios a la movilidad cervical.
- Sin cambios cambios a posiciones de descarga neural.
- Arm Squeeze no suele ser positivo
- Discinesia escapular.(Es posible que el paciente no haya sido consciente).
- Signos negativos sensitivos son habituales en área C5-C6.
Fase tardía +14 días
- Movilidad activa muy limitada a la elevación y abducción.
- Movilidad pasiva completa a RE, pero limitada a la elevación.
- Sin dolor en la mayoría de los casos.
- Sin cambios cambios a la movilidad cervical.
- Sin cambios cambios a posiciones de descarga neural.
- Arm Squeeze no suele ser positivo
- Discinesia escapular.(El paciente es consciente de no poder elevar el brazo correctamente).
- Signos negativos sensitivos son habituales en área C5-C6.
Procedimiento en caso de sospecha.
- Realizar un informe completo con toda la entrevista clínica y valoración. Remarcar, si ha habido infección en vías respiratorias altas, o episodios de fiebre unos días antes.
- En medicina general le pedirán una electromiografía para valorar integridad estructuras neurales.
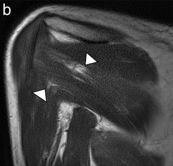
- Resonancia magnética: Cuando se sospeche de otra causa potencial (neoplasia, hernia cervical…) y nos puede mostrar si se realiza el estudio sobre la musculatura afectada. Mostrando patrones de edema difuso en fases iniciales y el aumento de infiltración grasa intramuscular en fase tardía.



Tratamiento Síndrome de Parsonage-Turner.
- En la fase aguda, algunos autores proponen el uso de corticoesteroides. Se sugiere esto para alivio del dolor y reducir el grado de lesión neural. Los estudios son con pocos sujetos y sin resultados claros.
- En la fase subaguda y tardía, aunque no existen estudios de calidad de tratamiento en fisioterapia la propuesta que presentamos en Clinical Patterns es:
- Visitas periódicas a acordar con el paciente.
- Educación del paciente en la patología y expectativas.
- Ejercicios de movilidad articular del hombro.
- Ejercicios de fuerza de la musculatura afectada (empezando por ejercicios adaptados-desgravitados/asistidos).
- Uso de TENS en la musculatura diana.
- Estos abordajes se le enseñaran al paciente, un buen automanejo entre sesiones.
¿Quieres estar al día?
Déjame tu correo y accede a recursos gratuitos exclusivos para suscriptores 🙂
¿Qué mecanismos se esconden detrás de esta entidad? ¿Porqué ocurre?
Tiene bastante evidencia, que se trata de un daño producido por el propio sistema inmune, aunque hay dos teorías sobre la etiología
Teoría sistema inmune.
La teoría de la infección, defiende el contacto del sistema nervioso afectado con virus/bacterias. Por eso, preguntar si han tenido infección de vías respiratorias/fiebre antes… Al contactar, el sistema autoinmune ataca los agentes externo y como efecto adverso, daña el tejido neural propio.


Teoría virus/bacteria.
Esta teoría propone que es el propio virus o bacteria el que afecta al nervio. Genera los daños hasta que el sistema inmune lo neutraliza.
¿Quiénes son los sospechosos habituales?
Infección vírica de las glándulas parotídeas, parvovirus b19, neumonía, infección gastrointestinal, miocarditis, meningitis aséptica, encefalitis, hepatitis vírica y viruela se encuentran entre los más habituales. También se sospecha de cirugías próximas a la región. Estas cirugías pueden activar virus o bacterias silentes debido al estrés de la propia cirugía. Como se describe en este caso.
También el SARS-CoV-2 se añade a la lista, como relata este caso.



Imágenes de este caso clínico
¿Y esto, va para largo?
Lamentablemente, el pronóstico de recuperación se sitúa entre los 2 años para el 75% de los pacientes. A los 3 años, el 90% tienen remisión total. El tiempo varia en función de:
- Función del número de nervios afectados.
- Presencia del Síndrome a nivel bilateral.
- Intensidad del dolor y duración.
- Afectación de nervios inferiores.
*Esto no significa que hasta el final el paciente esté como el primer día. Durante el tiempo de recuperación, el paciente va ganando fuerza y funcionalidad de forma gradual.
¿De dónde me he sacado esto? De aquí:
- Briceño Procopio, F., & Rodríguez Montero, S. A. (2010). Síndrome de Parsonage-Turner. Revisión bibliográfica. Seminarios de la Fundacion Espanola de Reumatologia, 11(4), 144–151. https://doi.org/10.1016/j.semreu.2010.05.002
- Feinberg, J. H., & Radecki, J. (2010). Parsonage-turner syndrome. HSS Journal: The Musculoskeletal Journal of Hospital for Special Surgery, 6(2), 199–205. https://doi.org/10.1007/s11420-010-9176-x
- Cabezón, I., Barreiro, G., & Egurbide, M. V. (2017). Síndrome de Parsonage-Turner: a propósito de un caso. Reumatologia clinica, 13(1), 60–61. https://doi.org/10.1016/j.reuma.2016.03.001
- Alvarado, M., Lin-Miao, Y., & Carrillo-Arolas, M. (2021). Síndrome de Parsonage-Turner postinfección por SARS-CoV-2: a propósito de un caso. Neurologia (Barcelona, Spain), 36(7), 568–571. https://doi.org/10.1016/j.nrl.2021.04.008
- Cosme LJ, Vivas BI, Roldán VE, et al. Síndrome de Parsonage-Turner y su evaluación por resonancia magnética: Presentación de un caso. Med Sur. 2009;16(1):31-34.
- Sanchis Niclòs, F. Apuntes curso presencial Clinical Patterns edición 2024.




Deja un comentario